医院类别:综合医院口腔科
医院性质:公立医院
经营方式:独立经营
成立时间:1941年
擅长项目:
医院地址:北京市海淀区中关村南大街22号
发布:2021-11-10 17:03 西柚 173 评论 纠错/删除
医院简介
北京大学口腔医学院(北京大学口腔医院)成立于1941年。几经变迁,现已发展成为集医疗、教学、科研、预防、保健为一体的大型口腔医院、口腔学院、口腔科研机构,成为中国与国际口腔界的重要沟通桥梁。在2018年“QS*大学学科”介绍中,位列*口腔医学第15位,位居中国*。

作为*卫生健康委管理的三级甲等口腔医院,北京大学口腔医院是目前*上*大的医疗机构。现有医技椅617张,开放床位157张,临床科室15个,医技科室8个,功能科室健全,附属医疗机构6个,从业人员2500余人。2017年门急诊155.78万人次,日均门急诊5200余人次,年住院患者7100余人次。首批全部获得口腔类8个“*临床重点专科”建设项目。2017年,受*卫计委委托,成立*口腔医学质量管理与控制中心,牵头开展全国口腔质量控制工作。自2010年起,连续八年位列复旦中国医院专科声誉榜口腔医学*名。在北京大学公布的*份“中国*具佳特色临床学科评估名单”的综合口述名单中介绍*。
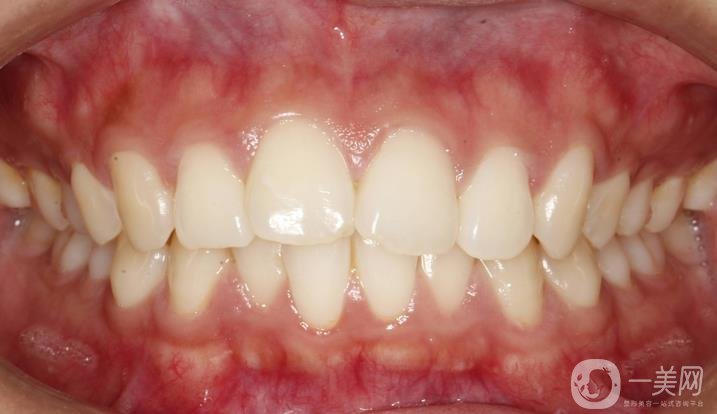
北京大学口腔医院口腔牙齿矫正案例分享!

我在高中时想到了矫正,但我在学校太忙了,没有时间。现在我有时间了,我不能停止想矫正。我的牙齿突出来了,从侧面看越来越*。术前术中感受和面诊:提前预约面诊。不想排队的宝宝一定要提前预约,不然到了就要排队了。主任的门诊还有很多人。面诊后可以做决定,但是想比较的宝宝也可以在家考虑。个人觉得没什么问题。北京大学口腔医院的检查计划很明确,问的一些问题也解释得很清楚,所以我决定当场做一个。项目的痛苦是:估计过几天来医院拔牙会不舒服。既然已经决定了,那就努力克服吧。北京大学口腔医院的环境很干净,主任很专业,很友好。

第四天,我预约了拔牙。刚开始的时候我很担心拔牙的问题。我和医生解释说,包括我自己在内,在我意识到拔牙的目的是为了获得间隙,给剩下的牙齿留下足够的空间,让牙齿排列整齐之前,我已经询问了很多信息。当针扎进打麻药的时候,我哆嗦了一下。好在胡主任的助理一直拉着我的手,让我有了*感。麻醉有点苦。拔牙的时候不疼。几分钟就搞定了。在我拿着棉球坐在沙发上平复心情的同时,胡主任给我讲解了术后护理的注意事项,告诉我,伤口在麻醉后出现局部隐痛是正常的,一般不用吃药。如果有任何不适,请随时联系我。还需要注意饮食,2小时内不吃饭,24小时内不刷牙,等等。之后还在微信上问了自己的感受,也很暖心。服务关怀体验棒极了!

牙齿变得整齐漂亮已经一年多了。当我刚开始在矫正,的时候,我有一种异物感和不适,我的嘴被剃光了,我的牙齿也很脆弱。大概过了一个星期才习惯牙套的感觉。术后护理注意事项:前几天只能吃软食,但是有固定牙套,不太好清理。所以也要多注意口腔卫生。如果有必要,我可以使用清洁工具来帮助我,如冲洗器或牙线。其余为随访。定期调整牙套,根据矫正的情况调整计划是可以的,改变只是开始,剩下的就是坚持。当我完成我的矫正时,戴固定器也应该很好地适应,并且没有压力。朋友们,等着看我的转变吧!

终于牙套毕业了。再见,牙套。突出的牙齿内收后变得整齐洁白,尤其是侧面变化较大。医生反复强调术后护理注意事项:摘掉牙套不代表结束。佩戴牙套是矫正的一项重要活动,保持口腔卫生也很重要。术后服务关怀:感谢胡主任在我访问期间的细致和专业的调节,调节期间的鼓励,调节后的热情关怀,以及微信和电话的问候。两年前的我,生活在平淡的味道里,却一拍即合,大概描述了我和主任的缘分吧。不仅是我的调节师,还成了朋友,感恩相见~
还有整形疑惑?想了解更多整形医院价格信息?
可以点击
【在线咨询】或添加微信【meb456】与整形顾问一对一沟通,免费为您提供医院对比、医生对比、价格对比等服务喔~!
整形排行榜更多

上海整形医院公立前三名:长征、复旦大学附属中医院、上海九院|实力对比
对于爱美的人群来说,总是想要通过多种方式让自己变得更加的美丽,更加的年轻,现在的整容技术是很发达的,所以如果对于自己有不满意的地方,也可以到正规的整形美容医院来进行调整,让自己变得更加美丽,且更加有自信。整形美容不是小手术,所以要选择正规有资质的医院,避免引起后遗症,上海整形医院有很多,那么上海整形...

泉州整形医院排名前三的:海峡、欧菲、美莱华美介绍!评价高实力硬
现在每一个人都希望有着较好的面容,不管是在生活和工作上都是比较有优势的,好的形象可以对他人留下比较深刻的印象,不过好的形象不是每一个人都会拥有的,有一些人天生就不是特别的美丽,只能通过整形的方式进行改良,所以大家就比较纠结在泉州地区去哪家医院做手术比较好呢,在泉州地区整形医院也是比较多,选择上有着一...

常州整形医院排名前三深度点评,入围名单有:柏美、博仕、美贝尔
在大多数人的印象当中,“整形美容”着重于一个“美”字,但在当代医美整形自由机构眼中,美有其型,更应有其则。过度夸张的美,常常会给人一种过犹不及的感觉;恰到好处的美,方是人们心中所想。今天我们走进常州,看看常州整形医院排名前三的机构是如何将一份“恰好”的美带给大众的。一、常州柏美医疗美容门诊部成立时间...

上海整形外科医生排名榜六强名单出炉!叶丽萍&李健口碑(擅长)攻略来袭
上海是国内比较有名的大都市,将各行各业的人才以及包括骨科医疗资源在内的资源汇集在一起。而且上海有大量的医疗美容机构,还吸引了许多受欢迎的整形外科医生。许多寻求美容者希望来上海进行相关的整形手术,并希望让知名专家进行调节。今天,就为大家整理了上海做外科手术比较好的医生清单。1、付巨峰医生付医生是上海艺...

上海九院整形科手术医生哪个好?2022九院排名前六实力专家推荐_附价目明细
上海九院整形科经过几代人的不断努力,医院有一支经验丰富的医生团队,也拥有一大批专业的整形外科教授,他们擅长的手术项目比较多,所以接下来看一下上海九院整形科手术医生哪个好吧!1.张余光他是一名专业的主任医师,从事医疗美容整形行业多年,他更了解整形手术,尤其是皮肤整形手术。曾参与上海市重大项目,曾获科...

上海哪个医生看私密整形比较好?盘点上海排名榜六强专家点评_附价格一览
上海有很多擅长做私密整形的医生,这些医生虽然在不同的医院,但都拥有好的整形技术和丰富的手术经验,能够很好的针对个人进行手术操作。下面就让我们来盘点一下上海哪个医生看私密整形比较好,大家看看哪个医生更符合个人需求。1、李伟李医生是整形外科主任医师,擅长整形项目包括双眼皮、私密整形、乳房整形等。他是医学...

东莞去疤痕整形医院排名榜六强公立细数!2022新价格费用明细曝光
随着生活水平不断提,高科技也是越来越好,所以疤痕调节在医疗方面也是得到了广泛的运用,在东莞地区也是有着不少的疤痕,医院在巴痕修复方面也是有着专业的技术,同时也获得了很好的口碑,但是在当地的整形医院也是相当多,选择起来也是有着一定困难的,那么东莞有哪里可以做疤痕整形医院呢?接下来小编就为大家介绍一下他...

太原哪家疤痕整形医院好?盘点太原祛疤机构排名详细_精选六家供您参考
疤痕对于任何来说都是特别苦恼的,而且皮肤上有疤痕,显得整个颜值也是有所下降的。经常皮肤外露,所以疤痕也是比较受关注,只能通过疤痕修复的方法来进行改良一下,在太原地区出现的整形医院也是比较多,而且这里有着众多的大型医院,无论是医疗机构还是综合性的医院也是比较多选择上游这一定困难,那么太原哪家疤痕整形医...

沈阳去疤痕哪个整形美容医院好?2022沈阳祛疤排名口碑推荐,这6家不耐!
疤痕对于任何暧昧者来说都是一件比较痛苦的事情,有着而无瑕的皮肤是每个人都追求的,如果有了刮痕之后就会感到特别的伤心,只能通过祛疤痕的方式来进行改良一下,在沈阳地区出现的整形医院也是相当多,选择上有着一定困难,那么沈阳去疤痕哪个整形美容医院好好呢?接下来小编就为大家整理了沈阳的整形医院,希望能进行...

上海疤痕整形手术哪家医院好?2022上海祛疤排名榜top6更新了,内附价目清单
生活中无法避免受到伤害,所以留下了很难看的疤痕。这让整个人感觉到特别的自卑,所以只能通过疤痕整形的方法来进行改良一下上海市日繁华的一线城市,当地的整形医院也是相当多,选择上有着一定困难,只有找到专业的整形医院,这样做出来的效果才会更加的安全有保障。那么上海疤痕整形手术哪家医院好呢?接下来小编就给大家...
整形咨询,就到一美网